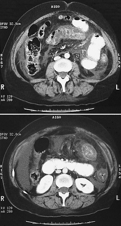
![]() | This abdominal CT scan reveals a narrowed lumen with thickened, edematous transverse colon and colonic splenic flexure as a consequence of colitis. This appearance can be present with pseudomembranous colitis, ischemic colitis, and neutropenic colitis. |
![]() |