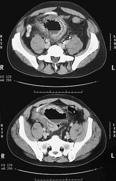
This abdominal CT scan reveals a partially loculated pelvic abscess with an air-fluid level that resulted from a ruptured diverticulum.