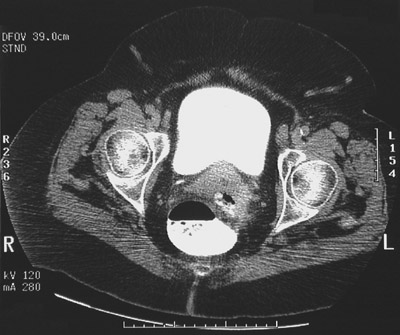
| In this pelvic CT scan is an area of abscess formation containing contrast and air. The abscess is located posterior to the uterus and anterior to the bright contrast-filled sigmoid colon. This abscess resulted from a ruptured diverticulum. The patient should have ingested more dietary fiber to help prevent diverticulosis and its complications. |
![]() |