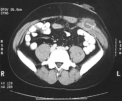
This abdominal CT scan reveals an abscess that resulted from a fistula that formed adjacent to a colostomy that was necessitated by removal of colon with a severe granulomatous colitis.