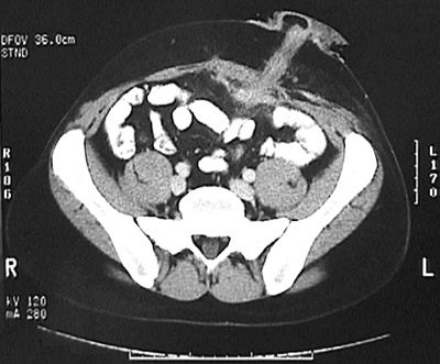
| A colostomy with stoma appears in this abdominal CT scan view from a patient who had granulomatous colitis most consistent with Crohn's disease and who developed a fistulous tract adjacent to the stoma. Transmural inflammation with Crohn's disease predisposes to fistula formation. |
![]() |