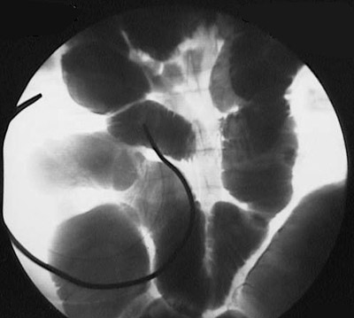
The upper GI series radiograph above reveals a focal area of narrowing from thickening with inflammation of the terminal ileum, consistent with Crohn's disease.