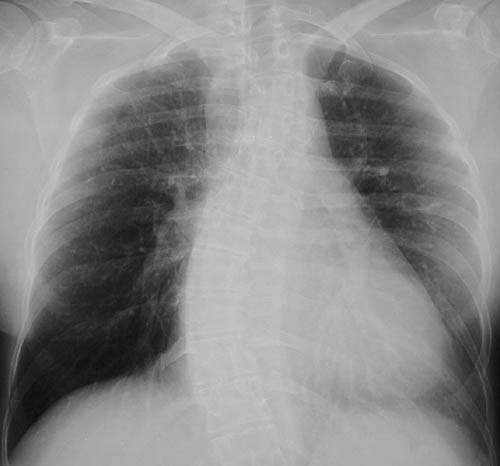
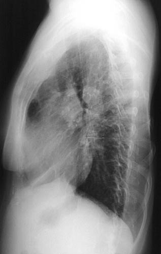
| The PA chest radiograph above and the lateral view below demonstrate cardiomegaly and prominent pulmonary arteries in a case of Eisenmenger complex. Eventually, failure of one ventricular chamber leads to failure of the other, and global enlargement, as in this case. Note that there is marked thoracic scoliosis. |
![]() |