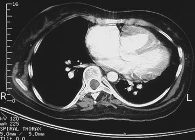
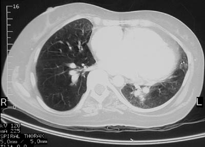
| The chest CT scan above in bone window reveals a discontinuity involving the superior aspect of the interventricular septum. This is consistent with a venticular septal defect that explains the cardiomegaly, particularly of the right ventricle, as seen below in lung window. Over the years, the left-to-right shunt induces increasing pulmonary hypertension, seen as prominent bright pulmonary arteries in the lowest frame below, and the shunt reverses, a so-called Eisenmenger complex. |
![]() |