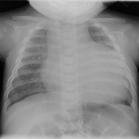
| The infant whose chest radiograph is shown here has massive cardiomegaly with the left heart border reaching the chest wall as a consequence of Pompe disease, an inborn error metabolism with a deficiency of the enzyme alpha-glucosidase (acid maltase). There is accumulation of glycogen in cardiac muscle (and to a lesser extent in liver) leading to cardiac failure in the first two years of life. |
![]() |