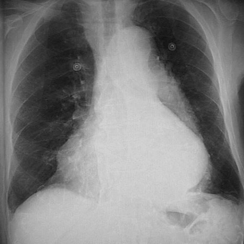
This chest radiograph demonstrates marked cardiomegaly, with the left heart edge appearing far to the left.