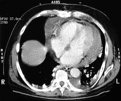
This chest CT scan demonstrates a large pericardial effusion around the heart. The dome of the liver appears at the right.