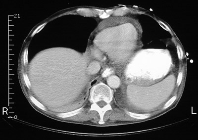
| This CT scan at the level of the lower chest demonstrates a large pericardial effusion around the heart. The dome of the liver appears at the right. There is also ascitic fluid around the spleen. This patient had severe congestive heart failure. Contrast fills the stomach. |
![]() |