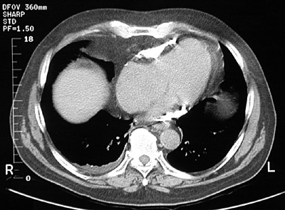
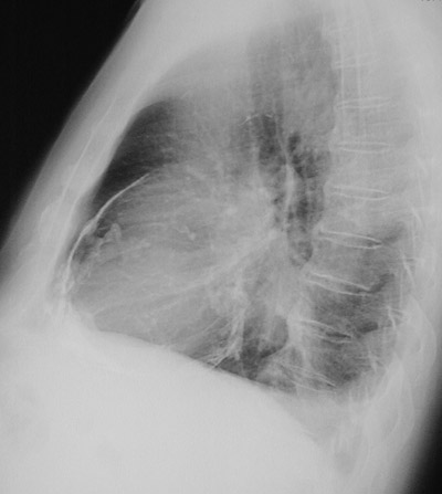
| The chest CT scan above shows a more advanced constrictive pericarditis with extensive bright calcification around the heart. In the lateral chest radiograph below, the calcification is best seen anteriorly. Such restriction of cardiac wall motion can produce heart failure. |
![]() |