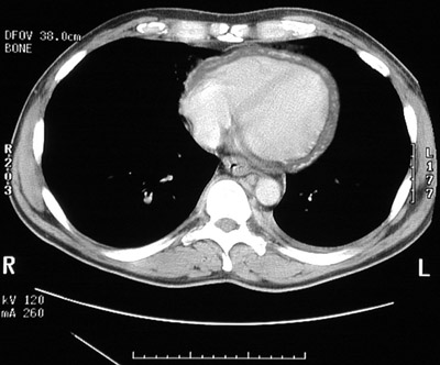
![]() | In this chest CT scan there is a thickened pericardium encasing the heart. Within the thickened pericardium can be seen areas of brighter calcification. This proved to be a tuberculous pericarditis. The thickening and calcification constrict cardiac movement, resulting in a so-called "constrictive pericarditis". |
![]() |