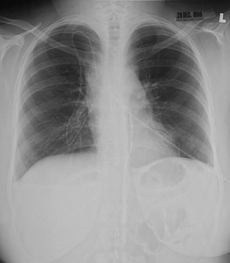
In this PA chest radiograph, the border at superior vena cava is prominent because it is expanded from thrombosis with obstruction in a patient with a hypercoagulable state.