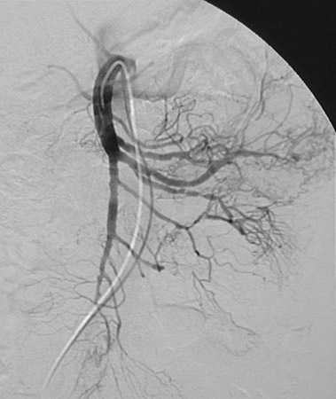
In this angiogram of the superior mesenteric artery can be seen arterial wall irregularity along with distal microaneurysm formation in vessels with abrupt termination. This is a case of polyarteritis nodosa.