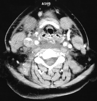
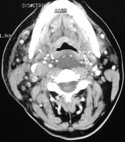
The head and neck CT scans with contrast above and below demonstrate thrombus filling and distending the internal jugular vein, with a rim of bright contrast. This thrombus extended from the superior vena cava.