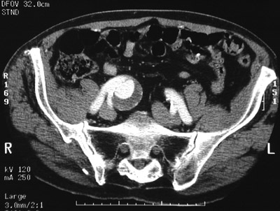
This pelvic CT scan with contrast reveals an
atherosclerotic aneurysm
involving the right common iliac artery just above its bifurcation. Note the bright contrast next to a rim of dark
mural thrombus
.