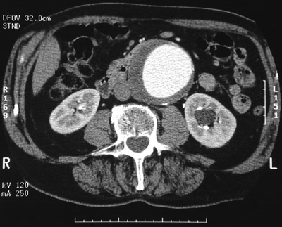
![]() | This abdominal CT scan with contrast reveals an abdominal aortic aneurysm that extended from just below the renal arteries past the takeoff of the inferior mesenteric artery. Note the bright contrast material filling the lumen with surrounding mural thrombus that is darker. The total diameter is approximately 7 to 8 cm in diameter, in great danger of rupture. A pulsatile abdominal mass was palpable. |
![]() |