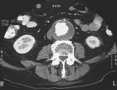
![]() | This abdominal high speed CT scan with contrast demonstrates an abdominal aortic aneurysm. Note the bright contrast material filling the lumen with surrounding mural thrombus that is darker. The total diameter is approximately 6 cm in diameter. At this size, there is increased risk for rupture. |
![]() |