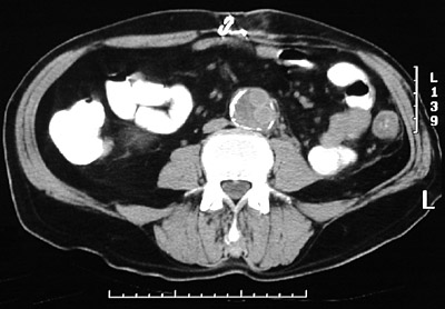
| This abdominal CT scan was taken postoperatively in a patient who underwent an aorto-iliac graft because of severe aortic atherosclerosis with signficant iliac arterial occlusion. This view is just above the aortic bifurcation, and the graft material can be seen in the residual lumen of the native aorta, the wall of which is highlighted by bright calcification of atheromatous plaque. |
![]() |