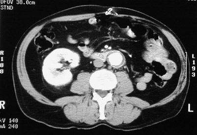
| In this abdominal CT scan with contrast the aorta is slightly dilated and the lumen is highlighted by contrast. Seen around the periphery is darker mural thrombus in a patient with severe atherosclerosis. The left kidney is absent from prior nephrectomy. |
![]() |