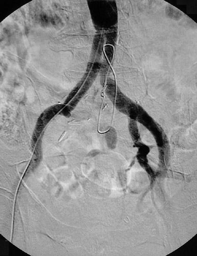
These aortogram views above and below demonstrate a right internal iliac artery occlusion in a patient who has had an aorto-biiliac arterial graft procedure.