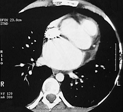
This chest CT scan demonstrates marked left atrial enlargement in a patient with mitral valve disease that required replacement with a prosthetic mitral valve.