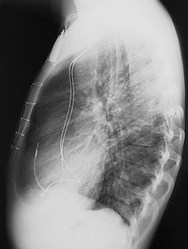
| This lateral chest radiograph demonstrates the presence of a cardiac pacemaker battery implanted under the skin of the upper left chest wall. The leads from the battery extend down to the right atrium and the apex of the right ventricle. Note the wires that closed the sternotomy incision are evident. |
![]() |