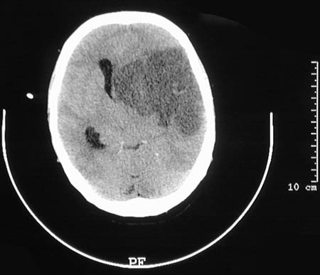
| This CT scan reveals an area of massive infarction of the left cerebral hemisphere, mostly in the right middle cerebral distribution, that is of recent formation, with brain swelling and a midline shift to the right compressing the ventricular system. |
![]() |