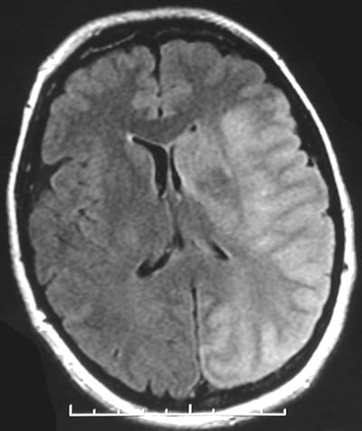
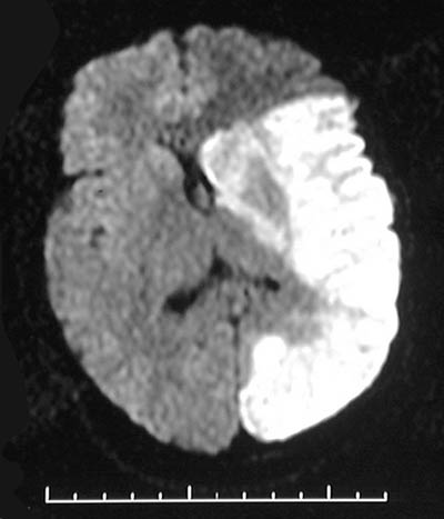
| The MRI scan in FLAIR mode above and enhanced below reveals an area of massive infarction of the left cerebral hemisphere, mostly in the right middle cerebral distribution, that is of recent formation, with brain swelling and a midline shift to the right compressing the ventricular system. |
![]() |