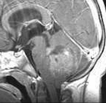
This sagittal T1 weighted MRI scan demonstrates a
medulloblastoma
of the cerebellar vermis that is producing obstruction to CSF flow in the fourth ventricle, leading to
hydrocephalus
.