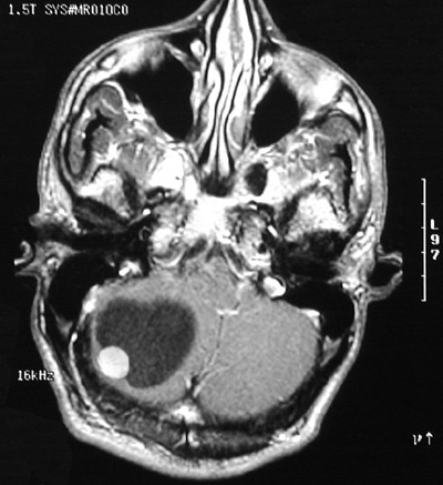
| This enhanced MRI scan in axial view demonstrates a cystic mass with a brightly enhancing mural nodule. This is a cerebellar hemangioblastoma. Posterior fossa masses in adults are uncommon, but this is one possibility. Many hemangioblastomas are cystic. |
![]() |