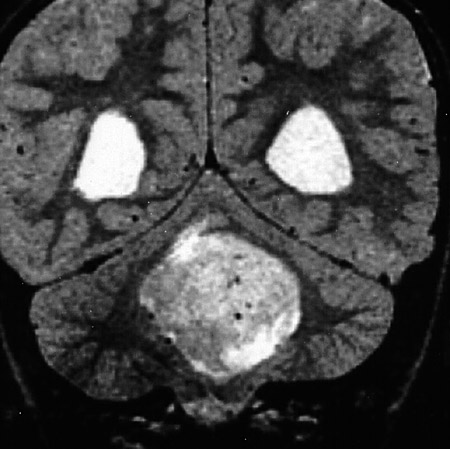
| The coronal T2 weighted MRI scan above and the enhanced MRI scan in axial view below both reveal a medulloblastoma of the cerebellar vermis in a child. Obstruction to CSF flow in the fourth ventricle may lead to hydrocephalus. Destruction of cerebellar tissue may be manifested by ataxia in the patient. |
![]() |