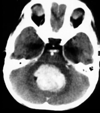
This enhanced CT scan demonstrates a medulloblastoma arising in the cerebellar vermis in a child. These may extend into the fourth ventricle and may seed the neuraxis.