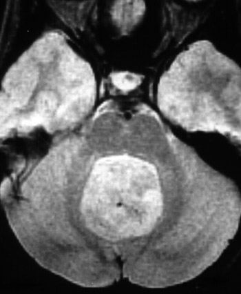
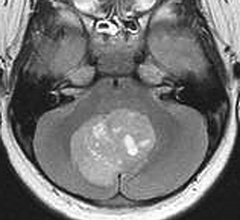
The axial MRI scan above and the enhanced MR scan below demonstrate a medulloblastoma in a child. These tumors tend to occur in the cerebellar vermis, with a peak incidence in the first two decades of life.