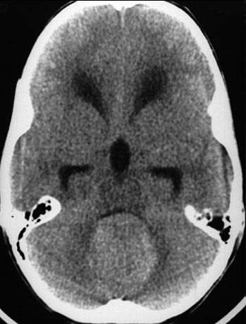
On CT scan, there is a midline cerebellar mass in a child. This is a medulloblastoma. Medulloblastoma is one form of primitive neuroectodermal tumor (PNET), just as a neuroblastoma is.