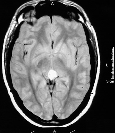
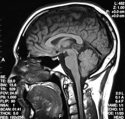
In the sagittal T1 weighted MRI scan above there is mass lesion in the region of the pineal gland. This is a pineocytoma. Below this mass appears bright in axial view post gadolinium injection.