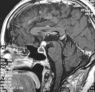
This enhanced MRI scan in sagittal view demonstrates a
cystic mass expanding the sella turcica
. This is a craniopharyngioma.