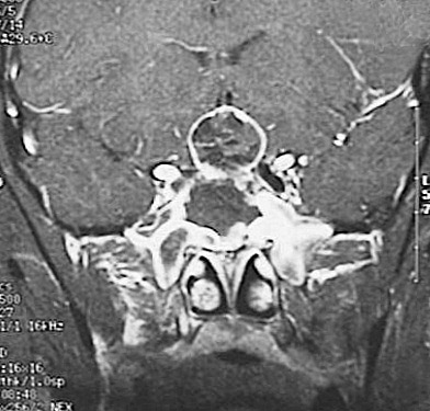
Click on the craniopharyngioma in the MRI scan above:

This MRI scan demonstrates an expanding mass with irregular margins in the suprasellar region.