Click on the craniopharyngioma in the CT scan above:

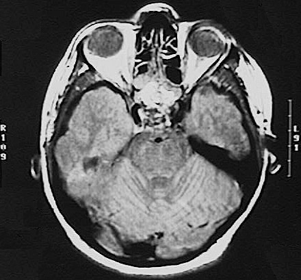
This T1 weighted MRI scan in axial view demonstrates a mass with irregular margins in the region of the sella. Such a mass may impinge upon the optic chiasm, just like a pituitary adenoma. Craniopharyngiomas are uncommon and tend to occur in young persons.