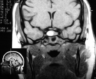
This enhanced MRI scan in coronal view demonstrates a brightly enhancing microadenoma of the pituitary which was manifested by prolactin secretion and not mass effect.