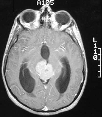
This enhanced MRI scan in axial view reveals a
mass in the region of the pineal
. This is a germinoma. The enlarging mass has occluded the fourth ventricle and led to hydrocephalus.