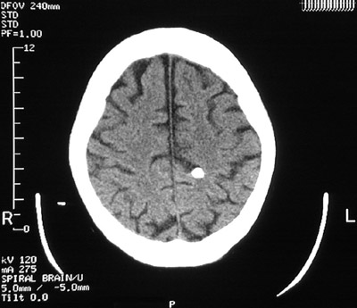
| A bright, rounded lesion is seen in the medial left frontal lobe above. This is a calcifying cysticercus cyst. The organism eventually dies and there can be an inflammatory reaction followed by dystrophic calcification. These lesions may be multiple, as is apparent in the two views below. |
![]() |