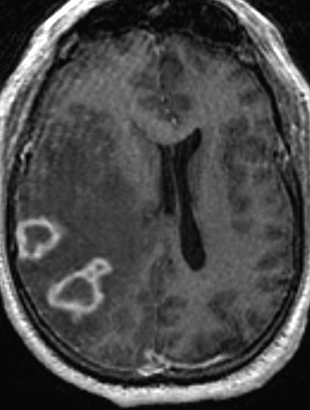
| This axial view MRI scan demonstrates tuberculomas in the right hemisphere which have central lucency from caseous necrosis and a brightly enhancing, somewhat irregular border from granulomatous inflammation. There is prominent adjacent edema producing marked effacement of the lateral ventricles on the right. |
![]() |