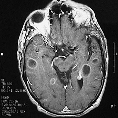
| This magnetic resonance imaging (MRI) scan of the head in transverse (axial) view demonstrates cysticercus cysts of the brain which have dark cystic centers and distinct bright borders with gadolinium enhancement. This patient presented with seizures. |
![]() |