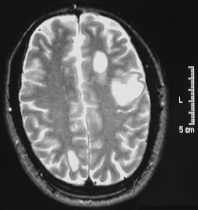
| The three much larger bright plaques of demyelination are seen here with a T2 weighted MRI scan in axial view above and an axial FLAIR scan below. This is a patient with an exacerbation of multiple sclerosis. A single large plaque may mimic a tumor mass. |
![]() |