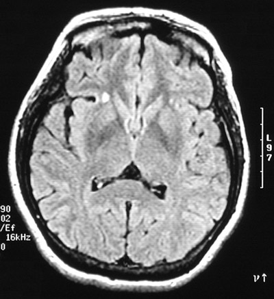
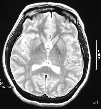
The T2 weighted MRI scan in axial view above and the axial FLAIR scan below both reveal a bright focus on the right lateral to the basal ganglia and another smaller bright focus on the left in a patient with an exacerbation of multiple sclerosis.