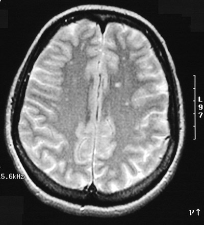
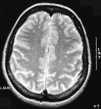
The T2 weighted MRI scans in axial view above and below demonstrate multiple small bright foci on the left as well as on the right that represent small areas of plaque formation in a patient with an exacerbation of multiple sclerosis.