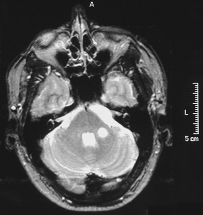
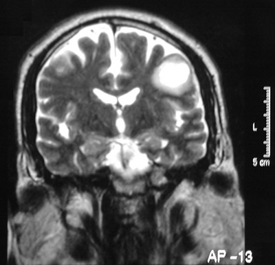
In the T2 weighted scans of the cerebrum above and the cerebellum below both demonstrate enhancing plaques of demyelination while the patient was symptomatic and having an exacerbation of his multiple sclerosis.