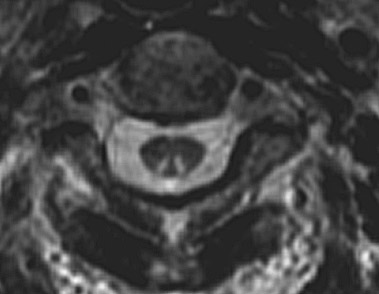
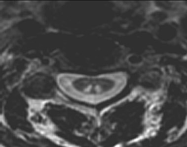
| This axial MRI scan shows changes of subacute combined degeneration of the spinal cord in a patient with pernicious anemia from vitamin B12 deficiency. Note the enhancement of the posterior columns in the region of the cervical cord above and the thoracic cord below. |
![]() |