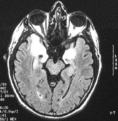
| This axial view of a FLAIR MRI scan reveals limbic encephalitis involving temporal lobes bilaterally. This inflammatory process is most likely to involve medial temporal lobe, amygdala, hypothalamus, and hippocampus. The marked brightness of the lesions is seen early in the course of this disease. |
![]() |