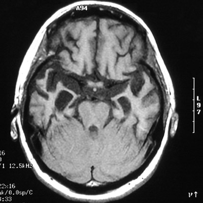
Here is an axial MRI scan demonstrating
marked cerebral atrophy
, mainly involving the temporal lobes in a case of Pick's disease. Note that the gyri are so thin that they have a "knife-like" quality.