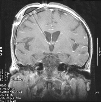
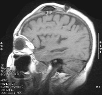
| In the coronal view above and the sagittal view below with these T1 weighted MRI scans can be seen an Ommaya reservoir placed under the scalp with catheter extending into the ventricle in a patient with a carcinoma metastatic to the meninges. Such a reservoir provides a means for delivering chemotherapeutic agents in high concentration. |
![]() |